足骨的跖骨(手足短骨解剖及常见疾病的影像学表现)

足骨的跖骨(手足短骨解剖及常见疾病的影像学表现)

府向雪 2025-10-24 财经 8 次浏览 0个评论

作者:影像th

概 述

骨是一种器官,主要由骨组织(包括骨细胞、胶原纤 维和基质等)构成

外被骨膜,内容骨髓,含有丰富的血管、淋巴管及神经,能不断进行新陈代谢和生长发育,并有修复、 再生和重塑能力

骨基质中沉积大量钙盐和磷酸盐,参与体内钙磷代谢

骨髓具有造血功能

01

手骨

包括腕骨、掌骨、指 骨

腕骨共8块,近侧由桡侧向尺侧为:手舟骨、月骨、三角骨和

豆骨,远侧列为:大多角骨、小多角骨、头状骨和钩骨

8块腕骨构成一掌面凹陷的腕骨沟

手足短骨解剖及常见疾病的影像学表现

手足短骨解剖及常见疾病的影像学表现

掌骨共5块,近端为底,接腕骨;远端为头,接指骨;中间部为体

指骨共14块,拇指有2节,分为近节和远节指骨,其余各指为3节, 分为近节指骨,中节指骨和远节指骨。每节指骨近端为底,中间部为体,远端为滑车

手足短骨解剖及常见疾病的影像学表现

手足短骨解剖及常见疾病的影像学表现

02

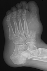
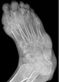
足骨

包括跗骨、跖骨和趾骨。跗骨共7块,分前、中、后列。后列包括距骨和跟骨;中列为距骨前方的足舟骨;前列为内侧楔骨、中间楔骨、外侧楔骨及跟骨前方的骰骨

手足短骨解剖及常见疾病的影像学表现

手足短骨解剖及常见疾病的影像学表现

跖骨,共5块,近端为底,与跗骨相接;中间为体,远端称头,与近节趾骨底相接

趾骨,共14块,踇趾为2节,其余各趾为3节。分为近节趾骨,中节趾骨和远节趾骨。每节趾骨近端为底,中间部为体,远端为滑车

手足短骨解剖及常见疾病的影像学表现

手足短骨解剖及常见疾病的影像学表现

常见疾病

先天发育畸形:多指畸形、马蹄足

骨折、脱位

骨结核

化脓性骨髓炎

腕舟月骨缺血性坏死

类风湿性关节炎

痛风

骨肿瘤:内生性软骨瘤、骨巨细胞瘤

手足短骨解剖及常见疾病的影像学表现

手足短骨解剖及常见疾病的影像学表现

多指畸形

手足短骨解剖及常见疾病的影像学表现

手足短骨解剖及常见疾病的影像学表现

先天性马蹄内翻足

手足短骨解剖及常见疾病的影像学表现

手足短骨解剖及常见疾病的影像学表现

手足短骨解剖及常见疾病的影像学表现

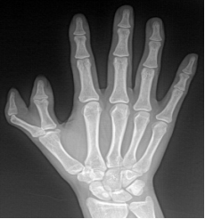
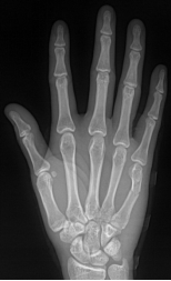
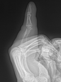
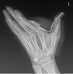
掌骨骨折;指骨骨折;手舟骨骨折

手足短骨解剖及常见疾病的影像学表现

手足短骨解剖及常见疾病的影像学表现

手足短骨解剖及常见疾病的影像学表现

手足短骨解剖及常见疾病的影像学表现

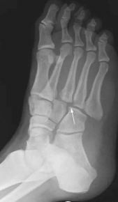
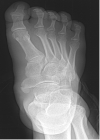
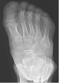
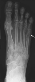
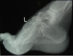
足舟骨骨折;跖骨骨折;楔骨骨折;跟骨骨折

手足短骨解剖及常见疾病的影像学表现

手足短骨解剖及常见疾病的影像学表现

手足短骨解剖及常见疾病的影像学表现

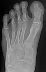
粉碎性骨折;撕脱性骨折;疲劳性骨折

手足短骨解剖及常见疾病的影像学表现

手足短骨解剖及常见疾病的影像学表现

手足短骨解剖及常见疾病的影像学表现

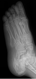
月骨脱位(1);跗跖关节脱位(2.3)

骨结核

短管骨骨干结核也称结核性指(趾)骨炎或骨气臌

多见于5岁以下儿童

好发于近节指(趾)骨

早期软组织肿胀,手指呈梭形增粗和骨质疏松,继而骨干内出现圆形或卵圆形骨破坏,病灶内可见残存骨嵴,病灶边缘可见有层状骨膜新生骨

5Y,M 掌骨、指骨骨结核

手足短骨解剖及常见疾病的影像学表现

化脓性骨髓炎

较少发生于指(趾)骨,指骨骨髓炎多发生在末节指骨

与外伤关系密切,当手指损伤或劳损时,局部抵抗力降低,血液中细菌随血流分布到整个手指并繁殖

影像表现以骨质破坏为主,常开始于指骨掌侧,其内可见小死骨,患骨部位软组织明显肿胀

64Y,M 第2近节指骨化脓性骨髓炎

手足短骨解剖及常见疾病的影像学表现

手足短骨解剖及常见疾病的影像学表现

手足短骨解剖及常见疾病的影像学表现

病理提示“左第二近节指骨骨髓炎病灶”:上皮样肉芽肿性病变伴急性炎性坏死和骨质破坏

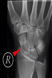
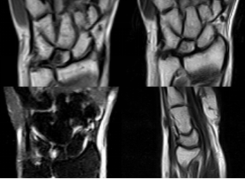
舟月骨缺血性坏死

腕关节发生骨缺血坏死的常见部位为舟骨和月骨

好发于20-30岁手工劳动者,也常见于腕部急性创伤和月骨骨折脱位后

男性多见

X线表现为病变早期骨形态尚可,骨质密度增高,其内可见囊样透亮影,进展期骨质塌陷,周边关节间隙增宽;MR对早期骨缺血坏死较敏感

手足短骨解剖及常见疾病的影像学表现

舟骨缺血性坏死

54Y,M 月骨缺血性坏死

手足短骨解剖及常见疾病的影像学表现

65Y,M,左手疼痛2个月

手足短骨解剖及常见疾病的影像学表现

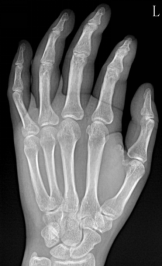
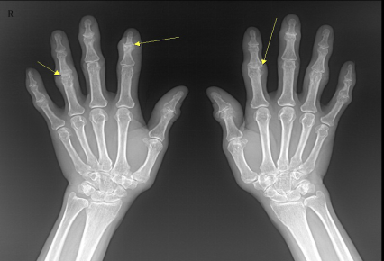
类风湿性关节炎

多发性、非特异性慢性滑膜炎症为主要表现的全身性疾病

多见于20-40女性

受累关节多呈对称性,以手足小关节为主

影像表现:①关节软组织肿胀;②关节间隙变窄、关节面边缘骨侵蚀;③软骨下多发囊样透亮区;④骨质疏松;⑤ 关节畸形和关节强直

F,55Y

手足短骨解剖及常见疾病的影像学表现

手足短骨解剖及常见疾病的影像学表现

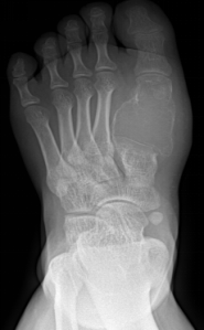
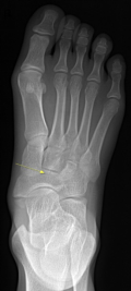
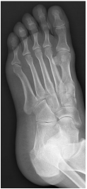
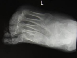
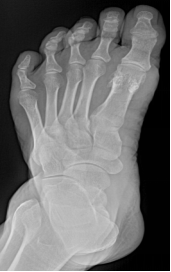
痛风

嘌呤代谢紊乱,以体液、血液中尿酸增加及尿酸盐沉着于各种间叶组织内引起炎症反应

好发于男性,发病高峰40-60岁

以第1跖趾关节最为多见

早期周围软组织肿胀,出现局限骨质硬化,晚期关节面边缘出现囊状、穿凿状骨质缺损,关节间隙可变窄,关节面不光整,晚期骨赘形成可使骨端增大

68Y,M

手足短骨解剖及常见疾病的影像学表现

手足短骨解剖及常见疾病的影像学表现

75Y,M

手足短骨解剖及常见疾病的影像学表现

手足短骨解剖及常见疾病的影像学表现

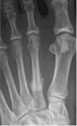
内生性软骨瘤

发生于骨髓腔的软骨瘤,多数认为是迷离的软骨细胞在干骺端沉积、增生并向骨干移行

最好发于四肢短管状骨

以20-40岁多见

典型X线表现:囊状膨胀性、偏心性生长,边界清楚,破坏区内钙化、边缘硬化,无骨膜反应及软组织肿块

60Y,F

手足短骨解剖及常见疾病的影像学表现

手足短骨解剖及常见疾病的影像学表现

手足短骨解剖及常见疾病的影像学表现

“右中指病灶+中指骨质破坏组织切除标 本”:符合内生性软骨瘤

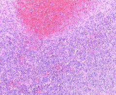
骨巨细胞瘤

是一种局部侵袭性肿瘤,大部分为良性,部分生长活跃,也有少数一开始就是恶性

男女发病率相近,好发年龄是20-40岁

膨胀性多房性偏心性骨破坏,横向生长

分房状或皂泡状,骨破坏区无钙化和骨化影

24Y,M

手足短骨解剖及常见疾病的影像学表现手足短骨解剖及常见疾病的影像学表现

手足短骨解剖及常见疾病的影像学表现

手足短骨解剖及常见疾病的影像学表现

手足短骨解剖及常见疾病的影像学表现

手足短骨解剖及常见疾病的影像学表现“左足第一跖骨肿物”:骨巨细胞瘤,肿瘤浸润骨皮质及软组织,伴反应性骨壳形成

参考文献

1、卜月菊, 周荔乔. 42例手足短骨良性囊样病变X线诊断[J]. 中外医用放射技术, 1996(8):45-46.

2、张昌政. 骨内及软组织内软骨瘤的影像及病理表现[C]// 全国第十三次中西医结合影像学术研讨会全国中西医结合影像学研究进展学习班福建省第八次中西医结合影像学术研讨会.

3、刘英娥, 孟庆瑶, 张翼翔. 短骨骨折影像学检查方法的比较[C]// 首届国际医学影像学暨介入医学学术会议论文汇编. 2005.

4、乔玉柱, 荆书刚. 11例罕见部位骨软骨瘤的X线表现[J]. 中华临床医学研究杂志, 2007, 013(006):818.

【版权声明】本平台属公益学习平台,转载系出于传递更多学习信息之目的,且已标明作者和出处,如不希望被传播的老师可与我们联系删除

转载请注明来自德立,本文标题:《足骨的跖骨(手足短骨解剖及常见疾病的影像学表现)》

每一天,每一秒,你所做的决定都会改变你的人生!

发表评论

快捷回复:

评论列表 (暂无评论,8人围观)参与讨论

还没有评论,来说两句吧...